Chúc mừng bạn đã đi đến cuối hành trình niềng răng! Tuy nhiên, khoảnh khắc tháo mắc cài hay khay niềng chưa phải là kết thúc. Để bảo vệ thành quả là nụ cười đều đẹp hoàn hảo, việc sử dụng hàm duy trì sau chỉnh nha là bước bắt buộc không thể bỏ qua. Vậy hàm duy trì có những loại nào, thời gian đeo bao lâu và nếu lỡ làm nứt thì có dùng được không? Cùng tìm hiểu chi tiết trong bài viết dưới đây.
Tại sao phải đeo hàm duy trì sau chỉnh nha?
Rất nhiều người lầm tưởng rằng sau khi tháo niềng, răng đã cố định hoàn toàn. Trên thực tế, bạn bắt buộc phải đeo hàm duy trì vì những lý do mang tính sinh học sau:
- Răng có “trí nhớ”: Dưới tác động của quá trình ăn nhai, hệ thống thần kinh, các dây chằng nha chu và mô nướu chưa kịp thích nghi hoàn toàn với vị trí mới. Nếu không có khí cụ giữ lại, răng sẽ có xu hướng dịch chuyển về vị trí lệch lạc ban đầu (hiện tượng tái phát).
- Xương hàm cần thời gian ổn định: Quá trình niềng răng thực chất là quá trình tiêu và tạo xương. Sau khi tháo niềng, phần xương xung quanh chân răng vẫn còn xốp, cần thời gian khoảng 6 – 12 tháng để cứng cáp và giữ chặt chân răng.
- Bảo vệ kết quả đầu tư: Việc bỏ qua hàm duy trì có thể khiến bạn mất trắng toàn bộ thời gian, công sức và tiền bạc của vài năm niềng răng trước đó.
Có các loại hàm duy trì nào? Ưu và nhược điểm
Hiện nay trên thị trường nha khoa, có 3 loại hàm duy trì phổ biến nhất. Tùy thuộc vào tình trạng răng và nhu cầu sinh hoạt, bác sĩ sẽ tư vấn loại phù hợp cho bạn.
1. Hàm duy trì trong suốt
Đây là loại máng nhựa trong suốt được ép sát theo khuôn răng thực tế của từng khách hàng, thiết kế gần giống với khay niềng trong suốt.
- Ưu điểm: Tính thẩm mỹ cao nhất, gần như tàng hình khi giao tiếp. Ôm sát vào răng nên giữ răng rất chắc chắn, dễ dàng tháo lắp để ăn uống.
- Nhược điểm: Dễ bị ố vàng nếu vệ sinh không kỹ. Có thể bị nứt, vỡ nếu cắn mạnh hoặc bảo quản sai cách.

2. Hàm duy trì tháo lắp kim loại (Hawley)
Hàm Hawley được cấu tạo từ một vòm nhựa (hoặc acrylic) áp sát vào vòm miệng, kết hợp với dây cung kim loại ôm lấy các răng cửa.
- Ưu điểm: Rất bền bỉ, tuổi thọ cao. Bác sĩ có thể dễ dàng điều chỉnh dây cung để nắn chỉnh nhẹ nếu răng có dấu hiệu dịch chuyển nhẹ.
- Nhược điểm: Lộ dây cung kim loại ra ngoài nên tính thẩm mỹ kém. Thời gian đầu đeo có thể hơi vướng víu, ảnh hưởng nhẹ đến phát âm.

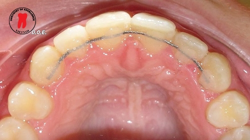
3. Hàm duy trì cố định mặt trong
Bác sĩ sẽ dùng composite để dán cố định một đoạn dây thép mài sẵn vào mặt trong của các răng trước (thường là từ răng nanh bên này sang răng nanh bên kia).
- Ưu điểm: Gắn cố định 24/24 nên hiệu quả duy trì cực cao. Tránh được tình trạng “não cá vàng” quên đeo hàm. Hoàn toàn không lộ ra bên ngoài.
- Nhược điểm: Gây khó khăn khi vệ sinh răng miệng, dễ tích tụ vôi răng ở mặt trong gây nha chu nếu không biết cách dùng chỉ nha khoa hoặc máy tăm nước.

Hàm duy trì bị nứt có tiếp tục sử dụng được không?
Câu trả lời ngắn gọn là: Không nên tiếp tục sử dụng.
Khi hàm duy trì (đặc biệt là khay trong suốt hoặc hàm Hawley) bị nứt, vênh hoặc gãy, chúng sẽ mang lại những rủi ro lớn:
- Mất đi lực giữ răng: Vết nứt làm hàm mất đi độ ôm sát và lực phân bổ đồng đều. Răng của bạn có thể âm thầm dịch chuyển sai lệch dù bạn vẫn đang đeo hàm mỗi ngày.
- Tổn thương khoang miệng: Các gờ nứt sắc nhọn có thể làm xước nướu, lưỡi hoặc niêm mạc miệng gây nhiệt miệng, chảy máu.
Giải pháp: Ngay khi phát hiện hàm bị nứt, hãy liên hệ với bác sĩ nha khoa để lấy dấu và làm lại hàm mới càng sớm càng tốt để tránh răng bị xô lệch.
Đeo hàm duy trì trong bao lâu?
Thời gian đeo hàm duy trì không giống nhau ở mỗi người, nhưng nhìn chung sẽ tuân theo phác đồ giảm dần như sau:
- Trong 6 tháng đầu tiên: Đeo 22 – 24 giờ/ngày. Bạn chỉ được tháo ra khi ăn uống và đánh răng. Đây là giai đoạn răng nhạy cảm và dễ xô lệch nhất.
- Từ tháng thứ 6 đến tháng 12: Đeo chỉ vào ban đêm (khoảng 8 – 10 tiếng lúc ngủ).
- Sau 1 năm: Tần suất giảm xuống còn khoảng 3 – 4 đêm/tuần.
- Về lâu dài: Các chuyên gia chỉnh nha khuyến cáo, để có nụ cười hoàn mỹ nhất, bạn nên duy trì việc đeo hàm 1-2 đêm/tuần như một thói quen suốt đời.
Vừa ăn vừa đeo khay duy trì trong suốt được không?
Không, bạn tuyệt đối không nên vừa ăn vừa đeo khay duy trì trong suốt. Việc này có thể làm hỏng, gãy khay, gây ố màu, tích tụ thức ăn dẫn đến sâu răng và viêm lợi. Hãy tháo khay khi ăn/uống (trừ nước lọc) và vệ sinh sạch sẽ trước khi đeo lại.
Vệ sinh và bảo quản hàm duy trì đúng cách
Hàm duy trì là vật dụng tiếp xúc trực tiếp với khoang miệng, do đó việc giữ vệ sinh là vô cùng quan trọng để tránh hôi miệng và sâu răng.
Cách vệ sinh: Sử dụng bàn chải lông mềm và chải nhẹ nhàng hàm duy trì mỗi ngày
- Tuyệt đối không dùng kem đánh răng có hạt mài mòn để chải máng trong suốt vì sẽ làm xước máng, gây đục màu. Bạn có thể dùng dung dịch xà phòng loãng hoặc viên sủi làm sạch hàm giả chuyên dụng.
- Không ngâm hàm vào nước nóng, nhiệt độ cao sẽ làm nhựa bị biến dạng ngay lập tức.

Cách bảo quản
- “Nguyên tắc vàng”: Hàm duy trì chỉ ở 1 trong 2 nơi – trong miệng bạn hoặc trong hộp đựng.
- Không bọc hàm vào khăn giấy khi đi ăn nhà hàng vì rất dễ bị nhân viên dọn nhầm hoặc vô tình vứt bỏ.
- Để hộp đựng tránh xa tầm với của trẻ em và thú cưng (chó, mèo rất thích cắn gặm khay nhựa).

Tuân thủ việc đeo và chăm sóc hàm duy trì sau chỉnh nha chính là chìa khóa cuối cùng để khóa chặt nụ cười rạng rỡ của bạn. Đừng vì sự chủ quan lơ là ở phút chót mà khiến quá trình niềng răng vất vả trở nên lãng phí!




