- 133 Nguyễn Chí Thanh, P. 9, Q. 5, TP. HCM
- +84901 00 91 91
- 12 Hạ Yên, P. Yên Hoà, Q. Cầu Giấy, HN
- +84901 82 59 19
Quận 5, TP. Hồ Chí Minh
Số 14 Ngõ 25A Lê Văn Lương
Quận Cầu Giấy, Hà nội
Hotline


Đăng ký Ngay
Thông tin liên hệ
Thông tin chuyển khoản
Ngày 13 - 14 tháng 9 năm 2025, Thành phố Hồ Chí Minh
Tiếp nối thành công của sự kiện năm ngoái tại Bangkok, Thái Lan, ZimVie tự hào giới thiệu một chương trình đào tạo chuyên sâu kéo dài hai ngày tại Thành phố Hồ Chí Minh, Việt Nam.
Với đội ngũ chuyên gia nổi tiếng thế giới, chương trình này thể hiện cam kết không ngừng của ZimVie trong việc mang đến các sản phẩm và kiến thức tốt nhất cho Châu Á.Điều này đại diện cho sự kết hợp hoàn hảo giữa sự xuất sắc truyền thống và sự đổi mới tiên tiến trong nha khoa – giúp các bác sĩ lâm sàng tự tin điều trị bệnh nhân và mang lại những nụ cười đẹp.
📅 Ngày 13/09/2025 – ZimVie Implantology Days
08:00-09:00
Đăng ký và đón khách.
09:00-10:30
Phác đồ điều trị mới để xử lý các ca lâm sàng khó phức tạp một cách đơn giản – Phần 1: Cấy ghép tức thì trong vùng thẩm mỹ, đặt implant tại vùng nhiễm trùng. – Dr Francesco Amato
Các phác đồ điều trị mới để giải quyết các ca lâm sàng phức tạp một cách đơn giản
Dr Francesco Amato
Cấy ghép tức thì trong vùng thẩm mỹ, đặt implant trong những vùng tiêu xương nghiêm trọng, cấy ghép tức thì tại vị trí nhiễm trùng, và xử lý sự không đồng đều của mô nướu ở vùng răng trước – Làm sao để xử lý những tình huống lâm sàng phức tạp này?
Hiện vẫn còn nhiều lo ngại liên quan đến việc đặt implant ngay tại thời điểm nhổ răng và phục hình tức thì trong vùng thẩm mỹ. Quan điểm phổ biến hiện nay cho rằng việc cấy ghép nên được trì hoãn nếu thành xương mặt ngoài ổ răng bị tổn thương hoặc nếu răng cần thay thế đang có nhiễm trùng. Ở vùng sau, chiều cao xương tối thiểu cần thiết để đặt implant thường được cho là 7–10 mm. Sự khác biệt trong hình thể mô nướu được xem là chống chỉ định đối với việc cấy ghép tức thì. Tuy nhiên, liệu những quan điểm này còn đúng trong thời điểm hiện tại?
Mục tiêu của bài giảng là đưa ra câu trả lời cho những câu hỏi nêu trên thông qua việc trình bày các quy trình và kỹ thuật lâm sàng mới, minh chứng cho khả năng đạt được kết quả điều trị thành công trong những tình huống lâm sàng đầy thách thức này.
Nội dung bài giảng sẽ tập trung vào cách đạt được kết quả thẩm mỹ lý tưởng và ổn định lâu dài một cách tiên lượng được, kể cả trong những ca khó. Bài giảng sẽ mô tả chi tiết các kỹ thuật phẫu thuật và phục hình, cũng như các phương pháp tiếp cận đa chuyên khoa – nơi mà nha chu, chỉnh nha, phục hình và cấy ghép nha khoa phối hợp cùng nhau, giúp bác sĩ lâm sàng kiểm soát và xử lý những trường hợp phức tạp.
Thông tin được trình bày sẽ dựa trên các bằng chứng khoa học, nghiên cứu lâm sàng và kinh nghiệm thực tiễn, giúp người tham dự có thể áp dụng và biến những ca điều trị khó trở nên đơn giản và dễ kiểm soát hơn.
10:30-11:00
☕ Giải lao
11:00-12:30
Phác đồ điều trị mới để xử lý các ca lâm sàng khó phức tạp một cách đơn giản – Phần 2: Cấy ghép trong vùng tiêu xương nghiêm trọng, xử lý mất cân đối mô nướu. – Dr Francesco Amato
Các phác đồ điều trị mới để giải quyết các ca lâm sàng phức tạp một cách đơn giản
Dr Francesco Amato
Cấy ghép tức thì trong vùng thẩm mỹ, đặt implant trong những vùng tiêu xương nghiêm trọng, cấy ghép tức thì tại vị trí nhiễm trùng, và xử lý sự không đồng đều của mô nướu ở vùng răng trước – Làm sao để xử lý những tình huống lâm sàng phức tạp này?
Hiện vẫn còn nhiều lo ngại liên quan đến việc đặt implant ngay tại thời điểm nhổ răng và phục hình tức thì trong vùng thẩm mỹ. Quan điểm phổ biến hiện nay cho rằng việc cấy ghép nên được trì hoãn nếu thành xương mặt ngoài ổ răng bị tổn thương hoặc nếu răng cần thay thế đang có nhiễm trùng. Ở vùng sau, chiều cao xương tối thiểu cần thiết để đặt implant thường được cho là 7–10 mm. Sự khác biệt trong hình thể mô nướu được xem là chống chỉ định đối với việc cấy ghép tức thì. Tuy nhiên, liệu những quan điểm này còn đúng trong thời điểm hiện tại?
Mục tiêu của bài giảng là đưa ra câu trả lời cho những câu hỏi nêu trên thông qua việc trình bày các quy trình và kỹ thuật lâm sàng mới, minh chứng cho khả năng đạt được kết quả điều trị thành công trong những tình huống lâm sàng đầy thách thức này.
Nội dung bài giảng sẽ tập trung vào cách đạt được kết quả thẩm mỹ lý tưởng và ổn định lâu dài một cách tiên lượng được, kể cả trong những ca khó. Bài giảng sẽ mô tả chi tiết các kỹ thuật phẫu thuật và phục hình, cũng như các phương pháp tiếp cận đa chuyên khoa – nơi mà nha chu, chỉnh nha, phục hình và cấy ghép nha khoa phối hợp cùng nhau, giúp bác sĩ lâm sàng kiểm soát và xử lý những trường hợp phức tạp.
Thông tin được trình bày sẽ dựa trên các bằng chứng khoa học, nghiên cứu lâm sàng và kinh nghiệm thực tiễn, giúp người tham dự có thể áp dụng và biến những ca điều trị khó trở nên đơn giản và dễ kiểm soát hơn.
10:30-11:00
🍴 Nghỉ trưa
13:30-14:15
Các phương pháp tiếp cận khác nhau trong xử lý huyệt răng cối lớn ngay sau nhổ răng. – Dr Suphachai Suphangul
Cấy ghép tức thì trong ổ răng cối lớn: Nguyên lý sinh học và ảnh hưởng của thiết kế implant
Dr. Supachai Suphangul
Cấy ghép tức thì (Immediate Implant Placement – IIP) là một xu hướng trong điều trị thay thế răng mất. Tuy nhiên, việc đặt implant tức thì tại vùng răng cối lớn là một xu hướng mới nổi, đặt ra nhiều thách thức cho bác sĩ lâm sàng trong việc rút ngắn thời gian điều trị và bảo tồn cấu trúc mô quanh răng trước những thay đổi sinh học tự nhiên sau nhổ răng.
Trong bài trình bày này, chúng ta sẽ tập trung vào thiết kế vĩ mô (macro design) của implant – yếu tố then chốt quyết định thành công trong giai đoạn đầu của quá trình tích hợp xương, bao gồm: độ ổn định ban đầu của implant, giao thức phẫu thuật phù hợp với từng hệ thống implant, v.v.
Ngoài ra, các nguyên lý sinh học quan trọng cũng sẽ được thảo luận, như: vị trí đặt implant, quản lý khoảng trống giữa implant và thành ổ răng (socket-implant gap management)… nhằm tối ưu hóa kết quả điều trị cấy ghép tức thì tại vùng răng cối lớn.
14:15–15:00
“Angle It Right”: Chuyển từ phục hình dán xi măng sang phục hình bắt vít với ASC Ti-Bases Smarter Angles. Góc độ chính xác, phục hình sạch, kiểm soát tốt hơn. – Dr Nikhil Deshpande
“Angle It Right”: Chuyển từ phục hình dán xi măng sang phục hình bắt vít với ASC Ti-Bases Smarter Angles. Góc độ chính xác, phục hình sạch, kiểm soát tốt hơn.
Dr Nikhil Deshpande
Phục hình gắn xi măng (cement-retained) tiềm ẩn nguy cơ giữ không đủ chắc chắn và gây viêm quanh implant (peri-implantitis) do xi măng dư còn sót lại trong khe nướu. Trong vùng răng trước, vấn đề này đặc biệt đáng lo ngại vì lỗ vặn của phục hình gắn vít (screw-retained) thường đi ra phía ngoài môi, khiến bác sĩ không còn lựa chọn nào ngoài việc sử dụng phục hình gắn xi măng để đạt hiệu quả thẩm mỹ.
Trụ Ti-Base có kênh vặn nghiêng (Angulated Screw Channel – ASC) là giải pháp lý tưởng cho những trường hợp như vậy. Bài thuyết trình sẽ tập trung vào ứng dụng của ASC trong vùng răng trước, mang lại các giải pháp phục hình thông minh, sạch sẽ hơn và giúp kiểm soát tốt hơn quá trình điều trị.
15:00–15:30
☕ Giải lao
15:30–16:15
Kỹ thuật All-on-X: Giảm biến chứng – Tối ưu hiệu quả. – Dr Nguyễn Ngọc Hải
Kỹ thuật All-on-X: Giảm biến chứng – Tối ưu hiệu quả.
Dr Nguyễn Ngọc Hải
Điều trị cho bệnh nhân mất răng toàn bộ không chỉ là một trong những tình huống lâm sàng thách thức nhất trong cấy ghép nha khoa, mà nếu thực hiện đúng cách, đây cũng là một trong những phương pháp mang lại giá trị điều trị cao nhất – cho cả bác sĩ và bệnh nhân.
Khái niệm All-on-X đã nổi lên như một giải pháp cải tiến cho phục hình toàn hàm, mang lại:
Trong bài giảng này, BS. Hải sẽ trình bày các chiến lược nhằm giảm thiểu các biến chứng sinh học, cơ học và thẩm mỹ, đồng thời tối ưu hóa khả năng thành công lâu dài. Dựa trên các phác đồ điều trị có bằng chứng lâm sàng, nội dung sẽ bao gồm:
Đặc biệt, bài giảng nhấn mạnh vai trò của quy trình điều trị hiện đại và thiết kế phục hình tiên tiến trong việc đảm bảo kết quả tiên lượng được.
Các mẹo lâm sàng thực tiễn và thảo luận ca lâm sàng sẽ giúp người tham dự tự tin hơn trong việc lập kế hoạch và thực hiện điều trị All-on-X một cách chính xác, hiệu quả – chuyển hóa thách thức thành thành công lâm sàng.
16:15–17:00
Chuyển hóa mô ghép thành kết quả bền vững trong tái tạo xương. – Dr Maria Elisa Cabalde-Rivas
Chuyển hóa mô ghép thành kết quả bền vững trong tái tạo xương
Dr Maria Elisa Cabalde Rivas
Các sống hàm đã được tái tạo – dù là thông qua bảo tồn ổ răng sau nhổ, nâng xoang hàm, hay ghép xương sống hàm – đều đặt ra những thách thức đặc thù trong việc đặt implant. Tuy nhiên, với lựa chọn ca lâm sàng phù hợp, kỹ thuật ghép xương chính xác, và hệ thống implant thích hợp, các vị trí vốn từng bị tổn thương này có thể trở thành nền tảng điều trị tiên lượng tốt và thành công lâu dài. Bài thuyết trình sẽ đi sâu vào hiệu quả lâm sàng của implant đặt trên nền xương ghép, nhấn mạnh các nguyên tắc then chốt để đạt được:
Bài giảng sẽ nhấn mạnh các đặc điểm thiết kế quan trọng như:
Các yếu tố này giúp implant của ZimVie đạt được độ ổn định ban đầu cao, ngay cả tại các vị trí có chất lượng xương kém.
Thông qua các ca lâm sàng và tài liệu nghiên cứu, bài giảng sẽ đề cập đến:
Tổng thể, bài giảng cung cấp cái nhìn toàn diện về cách tối ưu hóa điều trị implant trong xương ghép, từ lập kế hoạch đến thực hành lâm sàng.
📅 Ngày 13/09/2025 – ZimVie Implantology Days
08:00-09:00
Đăng ký và đón khách.
09:00-10:30
Phác đồ điều trị mới để xử lý các ca lâm sàng khó phức tạp một cách đơn giản – Phần 1: Cấy ghép tức thì trong vùng thẩm mỹ, đặt implant tại vùng nhiễm trùng. – Dr Francesco Amato
Các phác đồ điều trị mới để giải quyết các ca lâm sàng phức tạp một cách đơn giản
Dr Francesco Amato
Cấy ghép tức thì trong vùng thẩm mỹ, đặt implant trong những vùng tiêu xương nghiêm trọng, cấy ghép tức thì tại vị trí nhiễm trùng, và xử lý sự không đồng đều của mô nướu ở vùng răng trước – Làm sao để xử lý những tình huống lâm sàng phức tạp này?
Hiện vẫn còn nhiều lo ngại liên quan đến việc đặt implant ngay tại thời điểm nhổ răng và phục hình tức thì trong vùng thẩm mỹ. Quan điểm phổ biến hiện nay cho rằng việc cấy ghép nên được trì hoãn nếu thành xương mặt ngoài ổ răng bị tổn thương hoặc nếu răng cần thay thế đang có nhiễm trùng. Ở vùng sau, chiều cao xương tối thiểu cần thiết để đặt implant thường được cho là 7–10 mm. Sự khác biệt trong hình thể mô nướu được xem là chống chỉ định đối với việc cấy ghép tức thì. Tuy nhiên, liệu những quan điểm này còn đúng trong thời điểm hiện tại?
Mục tiêu của bài giảng là đưa ra câu trả lời cho những câu hỏi nêu trên thông qua việc trình bày các quy trình và kỹ thuật lâm sàng mới, minh chứng cho khả năng đạt được kết quả điều trị thành công trong những tình huống lâm sàng đầy thách thức này.
Nội dung bài giảng sẽ tập trung vào cách đạt được kết quả thẩm mỹ lý tưởng và ổn định lâu dài một cách tiên lượng được, kể cả trong những ca khó. Bài giảng sẽ mô tả chi tiết các kỹ thuật phẫu thuật và phục hình, cũng như các phương pháp tiếp cận đa chuyên khoa – nơi mà nha chu, chỉnh nha, phục hình và cấy ghép nha khoa phối hợp cùng nhau, giúp bác sĩ lâm sàng kiểm soát và xử lý những trường hợp phức tạp.
Thông tin được trình bày sẽ dựa trên các bằng chứng khoa học, nghiên cứu lâm sàng và kinh nghiệm thực tiễn, giúp người tham dự có thể áp dụng và biến những ca điều trị khó trở nên đơn giản và dễ kiểm soát hơn.
10:30-11:00
☕ Giải lao
11:00-12:30
Phác đồ điều trị mới để xử lý các ca lâm sàng khó phức tạp một cách đơn giản – Phần 2: Cấy ghép trong vùng tiêu xương nghiêm trọng, xử lý mất cân đối mô nướu. – Dr Francesco Amato
Các phác đồ điều trị mới để giải quyết các ca lâm sàng phức tạp một cách đơn giản
Dr Francesco Amato
Cấy ghép tức thì trong vùng thẩm mỹ, đặt implant trong những vùng tiêu xương nghiêm trọng, cấy ghép tức thì tại vị trí nhiễm trùng, và xử lý sự không đồng đều của mô nướu ở vùng răng trước – Làm sao để xử lý những tình huống lâm sàng phức tạp này?
Hiện vẫn còn nhiều lo ngại liên quan đến việc đặt implant ngay tại thời điểm nhổ răng và phục hình tức thì trong vùng thẩm mỹ. Quan điểm phổ biến hiện nay cho rằng việc cấy ghép nên được trì hoãn nếu thành xương mặt ngoài ổ răng bị tổn thương hoặc nếu răng cần thay thế đang có nhiễm trùng. Ở vùng sau, chiều cao xương tối thiểu cần thiết để đặt implant thường được cho là 7–10 mm. Sự khác biệt trong hình thể mô nướu được xem là chống chỉ định đối với việc cấy ghép tức thì. Tuy nhiên, liệu những quan điểm này còn đúng trong thời điểm hiện tại?
Mục tiêu của bài giảng là đưa ra câu trả lời cho những câu hỏi nêu trên thông qua việc trình bày các quy trình và kỹ thuật lâm sàng mới, minh chứng cho khả năng đạt được kết quả điều trị thành công trong những tình huống lâm sàng đầy thách thức này.
Nội dung bài giảng sẽ tập trung vào cách đạt được kết quả thẩm mỹ lý tưởng và ổn định lâu dài một cách tiên lượng được, kể cả trong những ca khó. Bài giảng sẽ mô tả chi tiết các kỹ thuật phẫu thuật và phục hình, cũng như các phương pháp tiếp cận đa chuyên khoa – nơi mà nha chu, chỉnh nha, phục hình và cấy ghép nha khoa phối hợp cùng nhau, giúp bác sĩ lâm sàng kiểm soát và xử lý những trường hợp phức tạp.
Thông tin được trình bày sẽ dựa trên các bằng chứng khoa học, nghiên cứu lâm sàng và kinh nghiệm thực tiễn, giúp người tham dự có thể áp dụng và biến những ca điều trị khó trở nên đơn giản và dễ kiểm soát hơn.
10:30-11:00
🍴 Nghỉ trưa
13:30-14:15
Các phương pháp tiếp cận khác nhau trong xử lý huyệt răng cối lớn ngay sau nhổ răng. – Dr Suphachai Suphangul
Cấy ghép tức thì trong ổ răng cối lớn: Nguyên lý sinh học và ảnh hưởng của thiết kế implant
Dr. Supachai Suphangul
Cấy ghép tức thì (Immediate Implant Placement – IIP) là một xu hướng trong điều trị thay thế răng mất. Tuy nhiên, việc đặt implant tức thì tại vùng răng cối lớn là một xu hướng mới nổi, đặt ra nhiều thách thức cho bác sĩ lâm sàng trong việc rút ngắn thời gian điều trị và bảo tồn cấu trúc mô quanh răng trước những thay đổi sinh học tự nhiên sau nhổ răng.
Trong bài trình bày này, chúng ta sẽ tập trung vào thiết kế vĩ mô (macro design) của implant – yếu tố then chốt quyết định thành công trong giai đoạn đầu của quá trình tích hợp xương, bao gồm: độ ổn định ban đầu của implant, giao thức phẫu thuật phù hợp với từng hệ thống implant, v.v.
Ngoài ra, các nguyên lý sinh học quan trọng cũng sẽ được thảo luận, như: vị trí đặt implant, quản lý khoảng trống giữa implant và thành ổ răng (socket-implant gap management)… nhằm tối ưu hóa kết quả điều trị cấy ghép tức thì tại vùng răng cối lớn.
14:15–15:00
“Angle It Right”: Chuyển từ phục hình dán xi măng sang phục hình bắt vít với ASC Ti-Bases Smarter Angles. Góc độ chính xác, phục hình sạch, kiểm soát tốt hơn. – Dr Nikhil Deshpande
“Angle It Right”: Chuyển từ phục hình dán xi măng sang phục hình bắt vít với ASC Ti-Bases Smarter Angles. Góc độ chính xác, phục hình sạch, kiểm soát tốt hơn.
Dr Nikhil Deshpande
Phục hình gắn xi măng (cement-retained) tiềm ẩn nguy cơ giữ không đủ chắc chắn và gây viêm quanh implant (peri-implantitis) do xi măng dư còn sót lại trong khe nướu. Trong vùng răng trước, vấn đề này đặc biệt đáng lo ngại vì lỗ vặn của phục hình gắn vít (screw-retained) thường đi ra phía ngoài môi, khiến bác sĩ không còn lựa chọn nào ngoài việc sử dụng phục hình gắn xi măng để đạt hiệu quả thẩm mỹ.
Trụ Ti-Base có kênh vặn nghiêng (Angulated Screw Channel – ASC) là giải pháp lý tưởng cho những trường hợp như vậy. Bài thuyết trình sẽ tập trung vào ứng dụng của ASC trong vùng răng trước, mang lại các giải pháp phục hình thông minh, sạch sẽ hơn và giúp kiểm soát tốt hơn quá trình điều trị.
15:00–15:30
☕ Giải lao
15:30–16:15
Kỹ thuật All-on-X: Giảm biến chứng – Tối ưu hiệu quả. – Dr Nguyễn Ngọc Hải
Kỹ thuật All-on-X: Giảm biến chứng – Tối ưu hiệu quả.
Dr Nguyễn Ngọc Hải
Điều trị cho bệnh nhân mất răng toàn bộ không chỉ là một trong những tình huống lâm sàng thách thức nhất trong cấy ghép nha khoa, mà nếu thực hiện đúng cách, đây cũng là một trong những phương pháp mang lại giá trị điều trị cao nhất – cho cả bác sĩ và bệnh nhân.
Khái niệm All-on-X đã nổi lên như một giải pháp cải tiến cho phục hình toàn hàm, mang lại:
Trong bài giảng này, BS. Hải sẽ trình bày các chiến lược nhằm giảm thiểu các biến chứng sinh học, cơ học và thẩm mỹ, đồng thời tối ưu hóa khả năng thành công lâu dài. Dựa trên các phác đồ điều trị có bằng chứng lâm sàng, nội dung sẽ bao gồm:
Đặc biệt, bài giảng nhấn mạnh vai trò của quy trình điều trị hiện đại và thiết kế phục hình tiên tiến trong việc đảm bảo kết quả tiên lượng được.
Các mẹo lâm sàng thực tiễn và thảo luận ca lâm sàng sẽ giúp người tham dự tự tin hơn trong việc lập kế hoạch và thực hiện điều trị All-on-X một cách chính xác, hiệu quả – chuyển hóa thách thức thành thành công lâm sàng.
16:15–17:00
Chuyển hóa mô ghép thành kết quả bền vững trong tái tạo xương. – Dr Maria Elisa Cabalde-Rivas
Chuyển hóa mô ghép thành kết quả bền vững trong tái tạo xương
Dr Maria Elisa Cabalde Rivas
Các sống hàm đã được tái tạo – dù là thông qua bảo tồn ổ răng sau nhổ, nâng xoang hàm, hay ghép xương sống hàm – đều đặt ra những thách thức đặc thù trong việc đặt implant. Tuy nhiên, với lựa chọn ca lâm sàng phù hợp, kỹ thuật ghép xương chính xác, và hệ thống implant thích hợp, các vị trí vốn từng bị tổn thương này có thể trở thành nền tảng điều trị tiên lượng tốt và thành công lâu dài. Bài thuyết trình sẽ đi sâu vào hiệu quả lâm sàng của implant đặt trên nền xương ghép, nhấn mạnh các nguyên tắc then chốt để đạt được:
Bài giảng sẽ nhấn mạnh các đặc điểm thiết kế quan trọng như:
Các yếu tố này giúp implant của ZimVie đạt được độ ổn định ban đầu cao, ngay cả tại các vị trí có chất lượng xương kém.
Thông qua các ca lâm sàng và tài liệu nghiên cứu, bài giảng sẽ đề cập đến:
Tổng thể, bài giảng cung cấp cái nhìn toàn diện về cách tối ưu hóa điều trị implant trong xương ghép, từ lập kế hoạch đến thực hành lâm sàng.
📅 Ngày 14/09/2025 – ZimVie Implantology Days
08:00-09:00
Ứng dụng trí tuệ nhân tạo trong nha khoa kỹ thuật số: Cân bằng giữa con người và máy tính vì lợi ích của bệnh nhân. – Alessandro Motroni
Ứng dụng trí tuệ nhân tạo trong nha khoa kỹ thuật số: Cân bằng giữa con người và máy tính vì lợi ích của bệnh nhân.
Alessandro Motroni
Trí tuệ nhân tạo (AI) đang tạo ra cuộc cách mạng trong nha khoa kỹ thuật số bằng cách nâng cao hiệu quả của quy trình điều trị định hướng phục hình, tối ưu hóa lập kế hoạch điều trị, và cải thiện kết quả điều trị cho bệnh nhân.
Khóa đào tạo này sẽ trình bày việc tích hợp AI vào quy trình điều trị nha khoa, nhấn mạnh sự kết hợp hài hòa giữa chuyên môn lâm sàng của con người và trí thông minh của máy tính.
Người tham dự sẽ được tìm hiểu về một hệ thống lập kế hoạch điều trị được hỗ trợ bởi AI độc quyền, cung cấp các chiến lược điều trị cá nhân hóa, với hơn 300 phương án điều trị khác nhau, được hỗ trợ bởi hạ tầng điện toán đám mây giúp kết nối mạch lạc giữa bác sĩ và labo.
Bằng cách kết hợp ưu thế của bác sĩ lâm sàng và công nghệ AI, các chuyên gia nha khoa có thể rút ngắn thời gian ra quyết định và nâng cao tiêu chuẩn chăm sóc bệnh nhân trong môi trường điều trị hiện đại.
09:00-10:30
Bí quyết thành công: Phẫu thuật cấy ghép có hướng dẫn kỹ thuật số – Từ các ca thẩm mỹ đơn lẻ đến phục hình toàn hàm – Phần 1. – Dr Ioana Datcu
Bí quyết thành công: Phẫu thuật cấy ghép có hướng dẫn kỹ thuật số – Từ các ca thẩm mỹ đơn lẻ đến phục hình toàn hàm
Dr Ioana Datcu
Thực tế ảo hiện đang đóng vai trò hỗ trợ quan trọng trong việc lập kế hoạch điều trị hiện đại, đặc biệt thông qua các phần mềm tiên tiến như RealGUIDE. Khi được kết hợp với hình ảnh 3D độ phân giải cao và công nghệ CAD/CAM, các công cụ này đã tạo ra một cuộc cách mạng trong chẩn đoán và điều trị của phục hình và cấy ghép nha khoa.
Kết quả là một quy trình làm việc hoàn toàn kỹ thuật số và đa chuyên khoa, nơi giao tiếp hiệu quả và độ chính xác cao dẫn đến kết quả điều trị tối ưu cho bệnh nhân. Phương pháp điều trị theo nhóm, được định hướng ngay từ đầu bởi kế hoạch điều trị dựa trên phục hình, đã trở thành nền tảng của liệu pháp cấy ghép thành công. Ngày nay, bác sĩ lâm sàng bắt đầu với mục tiêu cuối cùng: kết quả phục hình lý tưởng. Điều này cho phép đặt implant chính xác theo đúng kế hoạch phục hình mong muốn.
Phẫu thuật có hướng dẫn kỹ thuật số, dựa trên lập kế hoạch ảo bằng máy tính, giúp thực hiện các thủ thuật với độ chính xác cao, tiên lượng tốt và xâm lấn tối thiểu, đồng thời vẫn đảm bảo tính thẩm mỹ và sự thoải mái cho bệnh nhân.
Người tham dự sẽ được khám phá “bí quyết thành công” trong cấy ghép kỹ thuật số bằng cách hiểu rõ toàn bộ quy trình lâm sàng – từ các ca đơn chiếc trong vùng thẩm mỹ đến phục hình toàn hàm phức tạp. Khóa học sẽ trình bày cách quản lý các loại máng hướng dẫn phẫu thuật khác nhau, đồng thời nhấn mạnh những lợi ích từng bước của quy trình lập kế hoạch cấy ghép dựa trên phục hình với phần mềm RealGUIDE.
Các ví dụ lâm sàng sẽ bao gồm:
Đặc biệt, khóa học sẽ tập trung vào quy trình DAGO – một phương pháp kỹ thuật số toàn diện dành cho điều trị bệnh nhân mất răng toàn bộ, cho phép ghi nhận chính xác mô mềm và tương quan hàm – từ đó đảm bảo giao tiếp mượt mà với kỹ thuật viên labo và đạt được kết quả cuối cùng tối ưu.
Người tham dự sẽ rời khóa học với kiến thức và sự tự tin để áp dụng các giao thức kỹ thuật số này vào nhiều tình huống lâm sàng khác nhau, giúp đưa ra quyết định chính xác, hiệu quả và có căn cứ trong toàn bộ quy trình cấy ghép.
10:30-11:00
☕ Giải lao
11:00–12:30
Bí quyết thành công: Phẫu thuật cấy ghép có hướng dẫn kỹ thuật số – Từ các ca thẩm mỹ đơn lẻ đến phục hình toàn hàm – Phần 2. – Dr Ioana Datcu
Bí quyết thành công: Phẫu thuật cấy ghép có hướng dẫn kỹ thuật số – Từ các ca thẩm mỹ đơn lẻ đến phục hình toàn hàm
Dr Ioana Datcu
Thực tế ảo hiện đang đóng vai trò hỗ trợ quan trọng trong việc lập kế hoạch điều trị hiện đại, đặc biệt thông qua các phần mềm tiên tiến như RealGUIDE. Khi được kết hợp với hình ảnh 3D độ phân giải cao và công nghệ CAD/CAM, các công cụ này đã tạo ra một cuộc cách mạng trong chẩn đoán và điều trị của phục hình và cấy ghép nha khoa.
Kết quả là một quy trình làm việc hoàn toàn kỹ thuật số và đa chuyên khoa, nơi giao tiếp hiệu quả và độ chính xác cao dẫn đến kết quả điều trị tối ưu cho bệnh nhân. Phương pháp điều trị theo nhóm, được định hướng ngay từ đầu bởi kế hoạch điều trị dựa trên phục hình, đã trở thành nền tảng của liệu pháp cấy ghép thành công. Ngày nay, bác sĩ lâm sàng bắt đầu với mục tiêu cuối cùng: kết quả phục hình lý tưởng. Điều này cho phép đặt implant chính xác theo đúng kế hoạch phục hình mong muốn.
Phẫu thuật có hướng dẫn kỹ thuật số, dựa trên lập kế hoạch ảo bằng máy tính, giúp thực hiện các thủ thuật với độ chính xác cao, tiên lượng tốt và xâm lấn tối thiểu, đồng thời vẫn đảm bảo tính thẩm mỹ và sự thoải mái cho bệnh nhân.
Người tham dự sẽ được khám phá “bí quyết thành công” trong cấy ghép kỹ thuật số bằng cách hiểu rõ toàn bộ quy trình lâm sàng – từ các ca đơn chiếc trong vùng thẩm mỹ đến phục hình toàn hàm phức tạp. Khóa học sẽ trình bày cách quản lý các loại máng hướng dẫn phẫu thuật khác nhau, đồng thời nhấn mạnh những lợi ích từng bước của quy trình lập kế hoạch cấy ghép dựa trên phục hình với phần mềm RealGUIDE.
Các ví dụ lâm sàng sẽ bao gồm:
Đặc biệt, khóa học sẽ tập trung vào quy trình DAGO – một phương pháp kỹ thuật số toàn diện dành cho điều trị bệnh nhân mất răng toàn bộ, cho phép ghi nhận chính xác mô mềm và tương quan hàm – từ đó đảm bảo giao tiếp mượt mà với kỹ thuật viên labo và đạt được kết quả cuối cùng tối ưu.
Người tham dự sẽ rời khóa học với kiến thức và sự tự tin để áp dụng các giao thức kỹ thuật số này vào nhiều tình huống lâm sàng khác nhau, giúp đưa ra quyết định chính xác, hiệu quả và có căn cứ trong toàn bộ quy trình cấy ghép.
12:30–13:30
Phát biểu cảm ơn và nghỉ trưa
13:30–17:00
🧪 Hands-on Workshops tùy chọn
📅 Ngày 14/09/2025 – ZimVie Implantology Days
08:00-09:00
Ứng dụng trí tuệ nhân tạo trong nha khoa kỹ thuật số: Cân bằng giữa con người và máy tính vì lợi ích của bệnh nhân. – Alessandro Motroni
Ứng dụng trí tuệ nhân tạo trong nha khoa kỹ thuật số: Cân bằng giữa con người và máy tính vì lợi ích của bệnh nhân.
Alessandro Motroni
Trí tuệ nhân tạo (AI) đang tạo ra cuộc cách mạng trong nha khoa kỹ thuật số bằng cách nâng cao hiệu quả của quy trình điều trị định hướng phục hình, tối ưu hóa lập kế hoạch điều trị, và cải thiện kết quả điều trị cho bệnh nhân.
Khóa đào tạo này sẽ trình bày việc tích hợp AI vào quy trình điều trị nha khoa, nhấn mạnh sự kết hợp hài hòa giữa chuyên môn lâm sàng của con người và trí thông minh của máy tính.
Người tham dự sẽ được tìm hiểu về một hệ thống lập kế hoạch điều trị được hỗ trợ bởi AI độc quyền, cung cấp các chiến lược điều trị cá nhân hóa, với hơn 300 phương án điều trị khác nhau, được hỗ trợ bởi hạ tầng điện toán đám mây giúp kết nối mạch lạc giữa bác sĩ và labo.
Bằng cách kết hợp ưu thế của bác sĩ lâm sàng và công nghệ AI, các chuyên gia nha khoa có thể rút ngắn thời gian ra quyết định và nâng cao tiêu chuẩn chăm sóc bệnh nhân trong môi trường điều trị hiện đại.
09:00-10:30
Bí quyết thành công: Phẫu thuật cấy ghép có hướng dẫn kỹ thuật số – Từ các ca thẩm mỹ đơn lẻ đến phục hình toàn hàm – Phần 1. – Dr Ioana Datcu
Bí quyết thành công: Phẫu thuật cấy ghép có hướng dẫn kỹ thuật số – Từ các ca thẩm mỹ đơn lẻ đến phục hình toàn hàm
Dr Ioana Datcu
Thực tế ảo hiện đang đóng vai trò hỗ trợ quan trọng trong việc lập kế hoạch điều trị hiện đại, đặc biệt thông qua các phần mềm tiên tiến như RealGUIDE. Khi được kết hợp với hình ảnh 3D độ phân giải cao và công nghệ CAD/CAM, các công cụ này đã tạo ra một cuộc cách mạng trong chẩn đoán và điều trị của phục hình và cấy ghép nha khoa.
Kết quả là một quy trình làm việc hoàn toàn kỹ thuật số và đa chuyên khoa, nơi giao tiếp hiệu quả và độ chính xác cao dẫn đến kết quả điều trị tối ưu cho bệnh nhân. Phương pháp điều trị theo nhóm, được định hướng ngay từ đầu bởi kế hoạch điều trị dựa trên phục hình, đã trở thành nền tảng của liệu pháp cấy ghép thành công. Ngày nay, bác sĩ lâm sàng bắt đầu với mục tiêu cuối cùng: kết quả phục hình lý tưởng. Điều này cho phép đặt implant chính xác theo đúng kế hoạch phục hình mong muốn.
Phẫu thuật có hướng dẫn kỹ thuật số, dựa trên lập kế hoạch ảo bằng máy tính, giúp thực hiện các thủ thuật với độ chính xác cao, tiên lượng tốt và xâm lấn tối thiểu, đồng thời vẫn đảm bảo tính thẩm mỹ và sự thoải mái cho bệnh nhân.
Người tham dự sẽ được khám phá “bí quyết thành công” trong cấy ghép kỹ thuật số bằng cách hiểu rõ toàn bộ quy trình lâm sàng – từ các ca đơn chiếc trong vùng thẩm mỹ đến phục hình toàn hàm phức tạp. Khóa học sẽ trình bày cách quản lý các loại máng hướng dẫn phẫu thuật khác nhau, đồng thời nhấn mạnh những lợi ích từng bước của quy trình lập kế hoạch cấy ghép dựa trên phục hình với phần mềm RealGUIDE.
Các ví dụ lâm sàng sẽ bao gồm:
Đặc biệt, khóa học sẽ tập trung vào quy trình DAGO – một phương pháp kỹ thuật số toàn diện dành cho điều trị bệnh nhân mất răng toàn bộ, cho phép ghi nhận chính xác mô mềm và tương quan hàm – từ đó đảm bảo giao tiếp mượt mà với kỹ thuật viên labo và đạt được kết quả cuối cùng tối ưu.
Người tham dự sẽ rời khóa học với kiến thức và sự tự tin để áp dụng các giao thức kỹ thuật số này vào nhiều tình huống lâm sàng khác nhau, giúp đưa ra quyết định chính xác, hiệu quả và có căn cứ trong toàn bộ quy trình cấy ghép.
10:30-11:00
☕ Giải lao
11:00–12:30
Bí quyết thành công: Phẫu thuật cấy ghép có hướng dẫn kỹ thuật số – Từ các ca thẩm mỹ đơn lẻ đến phục hình toàn hàm – Phần 2. – Dr Ioana Datcu
Bí quyết thành công: Phẫu thuật cấy ghép có hướng dẫn kỹ thuật số – Từ các ca thẩm mỹ đơn lẻ đến phục hình toàn hàm
Dr Ioana Datcu
Thực tế ảo hiện đang đóng vai trò hỗ trợ quan trọng trong việc lập kế hoạch điều trị hiện đại, đặc biệt thông qua các phần mềm tiên tiến như RealGUIDE. Khi được kết hợp với hình ảnh 3D độ phân giải cao và công nghệ CAD/CAM, các công cụ này đã tạo ra một cuộc cách mạng trong chẩn đoán và điều trị của phục hình và cấy ghép nha khoa.
Kết quả là một quy trình làm việc hoàn toàn kỹ thuật số và đa chuyên khoa, nơi giao tiếp hiệu quả và độ chính xác cao dẫn đến kết quả điều trị tối ưu cho bệnh nhân. Phương pháp điều trị theo nhóm, được định hướng ngay từ đầu bởi kế hoạch điều trị dựa trên phục hình, đã trở thành nền tảng của liệu pháp cấy ghép thành công. Ngày nay, bác sĩ lâm sàng bắt đầu với mục tiêu cuối cùng: kết quả phục hình lý tưởng. Điều này cho phép đặt implant chính xác theo đúng kế hoạch phục hình mong muốn.
Phẫu thuật có hướng dẫn kỹ thuật số, dựa trên lập kế hoạch ảo bằng máy tính, giúp thực hiện các thủ thuật với độ chính xác cao, tiên lượng tốt và xâm lấn tối thiểu, đồng thời vẫn đảm bảo tính thẩm mỹ và sự thoải mái cho bệnh nhân.
Người tham dự sẽ được khám phá “bí quyết thành công” trong cấy ghép kỹ thuật số bằng cách hiểu rõ toàn bộ quy trình lâm sàng – từ các ca đơn chiếc trong vùng thẩm mỹ đến phục hình toàn hàm phức tạp. Khóa học sẽ trình bày cách quản lý các loại máng hướng dẫn phẫu thuật khác nhau, đồng thời nhấn mạnh những lợi ích từng bước của quy trình lập kế hoạch cấy ghép dựa trên phục hình với phần mềm RealGUIDE.
Các ví dụ lâm sàng sẽ bao gồm:
Đặc biệt, khóa học sẽ tập trung vào quy trình DAGO – một phương pháp kỹ thuật số toàn diện dành cho điều trị bệnh nhân mất răng toàn bộ, cho phép ghi nhận chính xác mô mềm và tương quan hàm – từ đó đảm bảo giao tiếp mượt mà với kỹ thuật viên labo và đạt được kết quả cuối cùng tối ưu.
Người tham dự sẽ rời khóa học với kiến thức và sự tự tin để áp dụng các giao thức kỹ thuật số này vào nhiều tình huống lâm sàng khác nhau, giúp đưa ra quyết định chính xác, hiệu quả và có căn cứ trong toàn bộ quy trình cấy ghép.
12:30–13:30
Phát biểu cảm ơn và nghỉ trưa
13:30–17:00
🧪 Hands-on Workshops tùy chọn
TÙY CHỌN 1
Thực hành trên Hàm heo
Dr. Francesco Amato
Mô tả
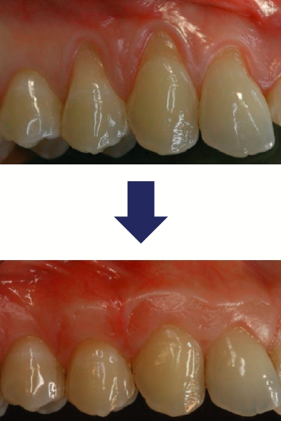
Khóa đào tạo thực hành này mang đến cơ hội áp dụng các kỹ thuật niêm mạc–nướu nhằm điều chỉnh sự bất đối xứng của mô nướu và nâng cao tính thẩm mỹ nha chu.
Người tham dự sẽ được thực hành trực tiếp trên mẫu hàm heo để thực hiện các kỹ thuật ghép nướu nâng cao.
Các chủ đề sẽ bao gồm: ứng dụng ghép nướu tự do, ghép mô liên kết dưới biểu mô, và kỹ thuật vạt trượt về phía thân răng nhằm tái tạo mô nha chu một cách tiên lượng và đạt được đường viền nướu lý tưởng.
Học viên kết thúc khóa học với sự tự tin và kỹ năng cần thiết để triển khai các kỹ thuật này trong thực hành lâm sàng.
Mục tiêu và kỹ thuật được trình bày:
Phần thực hành: kỹ thuật tạo đường hầm, lấy và đặt mô liên kết.

TÙY CHỌN 2
Thực hành trên Hàm heo
Dr. Ioana Datcu
Mô tả
Buổi thực hành này sẽ tập trung vào các quy trình lâm sàng và những lưu ý then chốt khi đặt implant tức thì tại vị trí mới nhổ răng. Người tham dự sẽ có cơ hội thực hành trên hàm heo để mô phỏng các tình huống thực tế, bao gồm nhổ răng không sang chấn, định vị implant và xử lý mô mềm. Buổi thực hành cũng sẽ giới thiệu hệ thống lấy dấu Encode, nhấn mạnh vai trò của nó trong quy trình kỹ thuật số tinh gọn và các yếu tố quan trọng để đạt được kết quả thẩm mỹ và chức năng tiên lượng được.
Lợi ích cho người tham dự:

TÙY CHỌN 3
14/09/2025 | Thời gian: 14:00 - 17:00 (Tối đa 20 học viên)
RealGUIDE – Thiết kế máng hướng dẫn xếp tầng dễ dàng hơn bao giờ hết – Chứng nhận đào tạo RealGUIDE
Mục tiêu:
Hiểu rõ quy trình thiết kế máng phẫu thuật xếp tầng (stackable guides)
Nội dung:

Học viên cần mang theo máy tính cá nhân đã cài đặt sẵn phần mềm RealGUIDE.
TÙY CHỌN 1
Thực hành trên Hàm heo
Dr. Francesco Amato
Mô tả
Khóa đào tạo thực hành này mang đến cơ hội áp dụng các kỹ thuật niêm mạc–nướu nhằm điều chỉnh sự bất đối xứng của mô nướu và nâng cao tính thẩm mỹ nha chu.
Người tham dự sẽ được thực hành trực tiếp trên mẫu hàm heo để thực hiện các kỹ thuật ghép nướu nâng cao.
Các chủ đề sẽ bao gồm: ứng dụng ghép nướu tự do, ghép mô liên kết dưới biểu mô, và kỹ thuật vạt trượt về phía thân răng nhằm tái tạo mô nha chu một cách tiên lượng và đạt được đường viền nướu lý tưởng.
Học viên kết thúc khóa học với sự tự tin và kỹ năng cần thiết để triển khai các kỹ thuật này trong thực hành lâm sàng.
Mục tiêu và kỹ thuật được trình bày:
Phần thực hành: kỹ thuật tạo đường hầm, lấy và đặt mô liên kết.

TÙY CHỌN 2
Thực hành trên Hàm heo
Dr. Ioana Datcu
Mô tả
Buổi thực hành này sẽ tập trung vào các quy trình lâm sàng và những lưu ý then chốt khi đặt implant tức thì tại vị trí mới nhổ răng. Người tham dự sẽ có cơ hội thực hành trên hàm heo để mô phỏng các tình huống thực tế, bao gồm nhổ răng không sang chấn, định vị implant và xử lý mô mềm. Buổi thực hành cũng sẽ giới thiệu hệ thống lấy dấu Encode, nhấn mạnh vai trò của nó trong quy trình kỹ thuật số tinh gọn và các yếu tố quan trọng để đạt được kết quả thẩm mỹ và chức năng tiên lượng được.
Lợi ích cho người tham dự:

TÙY CHỌN 3
14/09/2025 | Thời gian: 14:00 - 17:00 (Tối đa 20 học viên)
RealGUIDE – Thiết kế máng hướng dẫn xếp tầng dễ dàng hơn bao giờ hết – Chứng nhận đào tạo RealGUIDE
Mục tiêu:
Hiểu rõ quy trình thiết kế máng phẫu thuật xếp tầng (stackable guides)
Nội dung:

Học viên cần mang theo máy tính cá nhân đã cài đặt sẵn phần mềm RealGUIDE.
Dr Francesco Amato
Giới thiệu Diễn giả: Bác sĩ Francesco Amato đã tốt nghiệp Bác sĩ Y khoa tại Đại học Catania, Ý vào năm 1991. Ông là Hội viên chính thức của Hội đồng Nha khoa Hoa Kỳ (Diplomate of the American Board of Dentistry).
Ông đã hoàn thành Chương trình Nâng cao toàn thời gian kéo dài một năm dành cho Nha sĩ Quốc tế chuyên ngành Nha chu tại Trường Nha khoa Đại học New York (1992–1993).
Từ năm 1993 đến 1995, ông tiếp tục hoàn thành Chương trình Nâng cao toàn thời gian hai năm dành cho Nha sĩ Quốc tế chuyên ngành Cấy ghép Nha khoa tại Trường Nha khoa Đại học New York.
Ông cũng hoàn tất Chương trình Đào tạo Liên tục chuyên ngành Cấy ghép Nha khoa tại trường này trong giai đoạn 1994–1995.
Từ năm 1994 đến 1997, ông nhận bằng Tiến sĩ chuyên ngành Vi sinh Dược sinh học tại Đại học Catania, Ý.
Hiện ông là Giảng viên Quốc tế tại Khoa Nha chu và Cấy ghép Nha khoa của Đại học Columbia, New York, đồng thời là Giảng viên Quốc tế trong Chương trình Đào tạo Liên tục tại Trường Nha khoa Đại học New York.
Ông đã công bố hơn 40 bài báo khoa học trên các tạp chí quốc tế có bình duyệt. Ông là thành viên Ban biên tập của nhiều tạp chí chuyên ngành và là diễn giả tại nhiều hội nghị, khóa học trong và ngoài nước. Hiện tại, ông hành nghề tại phòng khám tư ở Catania, Ý, chuyên sâu về Nha chu và Cấy ghép Nha khoa.
Dr Ioana Datcu
Giới thiệu Diễn giả: Bác sĩ Ioana Datcu tốt nghiệp xuất sắc năm 2007 chuyên ngành Nha khoa và Phục hình Nha khoa tại Đại học Modena và Reggio Emilia.
Hiện cô hành nghề tại hai phòng khám riêng mang tên mình, ID đặt tại Ravenna và Russi (RA), nơi cô tập trung chuyên sâu vào Cấy ghép Implant, Phục hình cố định và Nha chu, với sự chú trọng đặc biệt đến Công nghệ số và Phẫu thuật có hướng dẫn.
Cô là người phát triển và sáng tạo các quy trình kỹ thuật số tiên tiến mới, tiêu biểu như giao thức DAGO – một quy trình phẫu thuật có hướng dẫn dành cho bệnh nhân mất răng toàn hàm. Bác sĩ Datcu là diễn giả trong nước và quốc tế, đồng thời là người sáng lập và dẫn dắt khóa học về Nha khoa Kỹ thuật số 2023 – 2024 – 2025 với tiêu đề: “Khai thác tối đa tiềm năng số hóa trong Nha khoa hiện đại – Toàn bộ bí quyết trong quy trình hàng ngày của tôi”.
Cô là thành viên sáng lập của SIPRO (Hiệp hội Phục hình Nha khoa và Phục hồi chức năng Răng miệng Ý) và là thành viên tích cực của IAED (Học viện Nha khoa Thẩm mỹ Ý), từng đạt giải Nhất cuộc thi IAED Young Challenge năm 2021.
Bác sĩ Datcu là tác giả và đồng tác giả của nhiều bài báo trên các tạp chí quốc tế và trong nước.
Cô cũng là thành viên của Hiệp hội Nha khoa Kỹ thuật số (Digital Dentistry Society), Học viện Cấy ghép Nha khoa Ý (IAO), và nhóm Leading Ladies in Dentistry (LLD). Cô đã tham dự nhiều khóa học chuyên sâu do các chuyên gia hàng đầu giảng dạy như Dr. Giovanni Zucchelli, Dr. Dennis Tarnow và Dr. Stephen Chu.
Dr Nguyễn Ngọc Hải
Giới thiệu Diễn giả: Dr Nguyễn Ngọc Hải là một Nha sĩ cấy ghép implant hàng đầu với hơn 25 năm kinh nghiệm trong lĩnh vực implant và phục hồi toàn hàm.
Là người tiên phong về implant tại Việt Nam từ đầu những năm 2000, ông chuyên về các giải pháp toàn hàm tiên tiến bao gồm All-on-4, All-on-6 và cấy ghép implant gò má.
Ông có bằng Thạc sĩ Nha khoa từ Đại học Sydney và đã hoàn thành khóa đào tạo nâng cao về cấy ghép implant thông qua Chương trình Thạc sĩ lâm sàng tại Đại học Loma Linda, Viện gIDE (Hoa Kỳ) và Đại học Harvard.
Ông cũng được đào tạo dưới sự hướng dẫn của Dr James Chow về cấy ghép implant gò má và tham dự Hội nghị thượng đỉnh về cấy ghép implant gò má ở Las Vegas.
Từ năm 2007 đến 2015, Dr. Hải là giảng viên tại Đại học Y Dược Thành phố Hồ Chí Minh, nơi ông thiết kế các module phẫu thuật implant và giảng dạy sinh viên đại học và sau đại học. Vào tháng 6 năm 2025, ông trở thành bác sĩ Việt Nam đầu tiên được Mạng lưới Trung tâm ZAGA toàn cầu chứng nhận và hiện đang lãnh đạo Trung tâm ZAGA duy nhất của Việt Nam. Có trụ sở tại Thành phố Hồ Chí Minh, Dr. Hải phục hồi cho nhiều bệnh nhân từ Việt Nam, Úc, New Zealand và Hoa Kỳ mỗi tháng, cải thiện chất lượng cuộc sống của họ.
Ông nổi tiếng với chuyên môn về lập kế hoạch dựa trên phục hình, quy trình làm việc kỹ thuật số và đạt được kết quả thẩm mỹ có thể tiên lượng.
Dr Hải cũng là thành viên tích cực của ITI (Thụy Sĩ), DentalXP & gIDE (Hoa Kỳ) và WAUPS (Hàn Quốc).
Dr Maria Elisa Cabalde Rivas
Giới thiệu Diễn giả: Dr Maria Elisa Cabalde-Rivas, DMD là một chuyên gia nha khoa dày dạn kinh nghiệm với hơn 30 năm kinh nghiệm lâm sàng, chuyên về Phẫu thuật miệng, Cấy ghép Implant và Chỉnh nha.
Là thành viên chính thức của Học viện Cấy ghép implant Philippines và Trường Cấy ghép implant Philippines, Dr Rivas hiện đang là Giám khảo Hội đồng cho Hội đồng Cấy ghép implant Philippines.
Bà là giảng viên uy tín, giảng viên lâm sàng và cố vấn chuyên môn cho nhiều hệ thống implant, bao gồm cả Zimmer Dental Implants. Với nền tảng đào tạo nâng cao về cả cấy ghép và chỉnh nha sọ mặt, bà tiếp tục hướng dẫn và truyền cảm hứng thông qua các bài giảng quốc gia và quốc tế, các chương trình đào tạo thực hành và các khóa học nội trú về nha khoa đường thở và giấc ngủ trong y học.
Alessandro Motroni
Giới thiệu Diễn giả: Alessandro Motroni là một kỹ sư y sinh, doanh nhân và là nhà tiên phong toàn cầu trong đổi mới nha khoa kỹ thuật số.
Hiện ông là Giám đốc Cấp cao phụ trách Nghiên cứu và Phát triển Nha khoa Kỹ thuật số tại ZimVie – nơi ông lãnh đạo các nỗ lực nghiên cứu và phát triển về phẫu thuật được hỗ trợ bằng máy tính, quy trình làm việc kỹ thuật số và các quy trình lâm sàng ít xâm lấn trên toàn cầu.
Là Nhà sáng lập và Giám đốc Điều hành của 3DIEMME Srl, Alessandro đã đóng vai trò quan trọng trong việc thúc đẩy phát triển phần mềm y tế, thiết kế dụng cụ phẫu thuật và xét duyệt quy định đối với các thiết bị y tế. Với gần hai thập kỷ kinh nghiệm trong lĩnh vực kỹ thuật y sinh, ông đã có những đóng góp to lớn cho lĩnh vực tái tạo giải phẫu 3D, công nghệ CAD/CAM và tạo mẫu nhanh trong lĩnh vực y tế.
Alessandro có bằng Thạc sĩ Quản trị Kinh doanh (MBA) của Đại học Bách khoa Milano, bên cạnh bằng Kỹ sư Y sinh, ông còn có chuyên môn về chiến lược, tài chính và quản lý sáng tạo.
Ông là tác giả của nhiều ấn phẩm khoa học trong lĩnh vực X-quang, cấy ghép implant và phẫu thuật có hướng dẫn. Sự nghiệp của ông phản ánh niềm đam mê đối với những tiến bộ công nghệ trong chăm sóc sức khỏe, kết nối kỹ thuật và thực hành lâm sàng để nâng cao kết quả điều trị cho bệnh nhân trên toàn thế giới cũng như các ứng dụng nhân tạo.
Dr. Supachai Suphangul
Giới thiệu Diễn giả: Dr Suphachai tốt nghiệp Đại học Mahidol năm 2003 và sau đó được đào tạo về Phẫu thuật miệng và Cấy ghép implant tại Đại học Mahidol và Đại học Loma Linda.
Hiện tại ông là phó giáo sư kiêm giảng viên tại Đại học Mahidol đào tạo nha sĩ tại Khoa Nha khoa Tổng quát Chuyên sâu.
Dr Supachai là diễn giả giàu kinh nghiệm và thường xuyên tổ chức các khóa đào tạo thực hành trong lĩnh vực Cấy ghép implant ở Thái Lan. Ông cũng đã xuất bản nhiều bài báo về các vấn đề liên quan đến phẫu thuật miệng và cấy ghép implant.
Dr Nikhil Deshpande
Giới thiệu Diễn giả: Dr Nikhil Deshpande tốt nghiệp từ Trường Nha khoa Bệnh viện Nair, Mumbai năm 2003.
Ông đã hoàn thành Chương trình Chứng chỉ Sau đại học về Cấy ghép implant và Phục hồi răng miệng từ Đại học New York vào năm 2005. Ông đã được đào tạo về các kỹ thuật tái tạo xương tiên tiến tại Đại học Munster, Đức.
Ông là thành viên sáng lập và cố vấn của Hiệp hội Cấy ghép implant vùng Đông Bắc và giữ chức Giám đốc Trường Cấy ghép implant ở Hyderabad, Ấn Độ.
Ông được DGOI – Đức công nhận đủ điều kiện để tổ chức các khóa học cấy ghép implant ở Ấn Độ.
Là Thành viên và chuyên gia cấp cao của Viện Laser Lâm sàng Thế giới, Hoa Kỳ, ông cũng đã từng là Đại biểu Giáo dục và Cán bộ Truyền thông trong Đội ngũ Lãnh đạo ITI – Khu vực Ấn Độ. Ông điều hành phòng khám tư nhân ở Mumbai.
Dr Alejandro Fernandez
Giới thiệu Diễn giả: Phó Quản lý Hỗ trợ Công nghệ Số khu vực Châu Âu, Trung Đông và Châu Phi của Zimvie, làm việc tại Tây Ban Nha. Ông có bằng cấp cao về phục hình răng và hơn 10 năm kinh nghiệm làm kỹ thuật viên CAD/CAM. Ông gia nhập công ty vào năm 2021. Trong vai trò hiện tại, ông hỗ trợ danh mục đầu tư kỹ thuật số của Zimvie, giám sát mọi thứ từ phần mềm RealGUIDE và ZfxCAD, bao gồm các chương trình đào tạo liên quan, đến các thành phần vật lý liên quan đến phục hình và phát triển sản phẩm kỹ thuật số.
Đăng ký Ngay
Thông tin liên hệ