Trong các thủ thuật phục hình và thẩm mỹ nha khoa, việc kiểm soát mô nướu đóng vai trò quan trọng để đảm bảo độ chính xác và tính thẩm mỹ của phục hình. Một trong những vật liệu hỗ trợ không thể thiếu chính là chỉ co nướu. Trong đó, Ultrapak của Ultradent Products Inc. là dòng sản phẩm được nhiều bác sĩ tin dùng nhờ khả năng kiểm soát mô mềm hiệu quả và dễ thao tác lâm sàng.
Chỉ co nướu là gì?
Chỉ co nướu là một loại chỉ chuyên dụng được đặt vào rãnh nướu xung quanh răng nhằm tách nướu ra khỏi bề mặt răng. Mục đích chính là tạo không gian giúp bác sĩ dễ dàng thao tác, đặc biệt trong các quy trình như lấy dấu, phục hình mão sứ hoặc dán veneer.
Ngoài ra, chỉ co nướu còn có thể được tẩm dung dịch cầm máu để giúp kiểm soát dịch nướu và máu, từ đó đảm bảo môi trường khô ráo khi thực hiện điều trị.

Tầm quan trọng của chỉ co nướu trong nha khoa
Trong các thủ thuật phục hình, đặc biệt là phục hình thẩm mỹ, độ chính xác là yếu tố then chốt. Nếu không kiểm soát tốt mô nướu, việc lấy dấu có thể bị sai lệch, dẫn đến phục hình không khít sát hoặc ảnh hưởng đến thẩm mỹ.
Chỉ co nướu giúp bộc lộ rõ đường hoàn tất của răng, tạo điều kiện để vật liệu lấy dấu hoặc máy scan ghi nhận chính xác hình thể cùi răng. Điều này đặc biệt quan trọng trong các ca phục hình toàn sứ hoặc veneer yêu cầu độ chính xác cao.
Bên cạnh đó, việc kiểm soát tốt mô nướu còn giúp giảm nguy cơ viêm nướu sau phục hình, từ đó nâng cao độ bền lâu dài của kết quả điều trị.
Ưu điểm của chỉ co nướu Ultrapak Ultradent
Ultrapak là dòng chỉ co nướu được thiết kế chuyên biệt nhằm tối ưu hiệu quả lâm sàng. Điểm nổi bật của sản phẩm nằm ở cấu trúc sợi đan đặc biệt, giúp chỉ có độ bền cao nhưng vẫn mềm mại khi đặt vào rãnh nướu.

Cấu trúc sợi đan đặc biệt
Nhờ cấu trúc này, chỉ Ultrapak có khả năng hấp thụ dung dịch tốt, giúp tăng hiệu quả cầm máu và kiểm soát dịch. Đồng thời, chỉ không bị tưa sợi trong quá trình sử dụng, giúp thao tác của bác sĩ trở nên chính xác và sạch sẽ hơn.
Một ưu điểm đáng chú ý khác là đa dạng kích cỡ, phù hợp với nhiều tình trạng nướu khác nhau. Điều này giúp bác sĩ dễ dàng lựa chọn loại chỉ phù hợp với từng ca lâm sàng, từ nướu mỏng đến nướu dày.
Ngoài ra, chỉ Ultrapak còn có màu sắc dễ nhận diện, hỗ trợ thao tác nhanh và chính xác trong môi trường lâm sàng.

Chỉ co nướu Ultrapak cord và chỉ co nướu thông thường
Ứng dụng lâm sàng của chỉ co nướu
Chỉ co nướu Ultrapak được sử dụng rộng rãi trong nhiều nha khoa, đặc biệt là trong lĩnh vực phục hình và thẩm mỹ.
Trong các ca làm mão răng, chỉ giúp bộc lộ đường hoàn tất, đảm bảo mão sứ được chế tác chính xác và khít sát. Trong điều trị veneer, việc kiểm soát nướu giúp bác sĩ đạt được đường viền thẩm mỹ tự nhiên.
Ngoài ra, chỉ co nướu còn được sử dụng trong quá trình lấy dấu truyền thống hoặc scan kỹ thuật số, giúp cải thiện độ chính xác của dữ liệu thu thập.
Trong một số trường hợp, chỉ còn hỗ trợ kiểm soát chảy máu nhẹ và dịch nướu, tạo môi trường khô ráo khi thao tác.

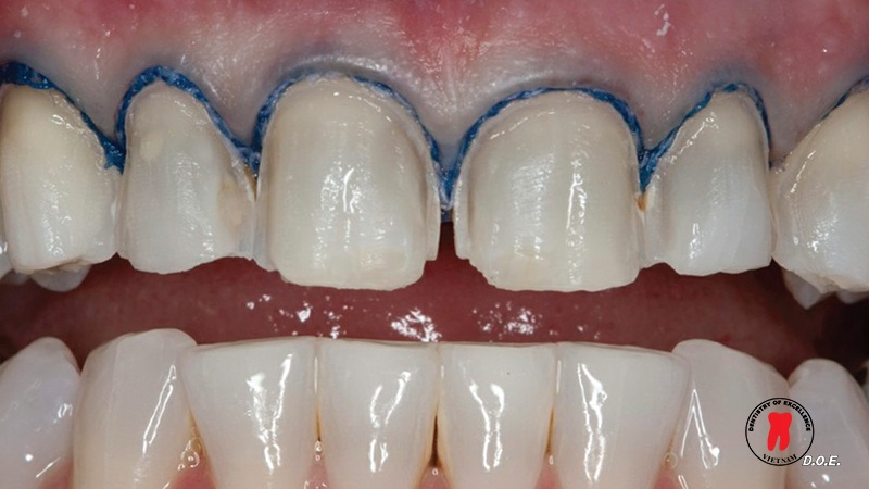
Ultrapak dùng trong thẩm mỹ veneer
Hướng dẫn sử dụng chỉ co nướu đúng cách
Để đạt hiệu quả tối ưu, việc sử dụng chỉ co nướu cần được thực hiện đúng kỹ thuật. Bác sĩ sẽ lựa chọn kích cỡ chỉ phù hợp với tình trạng nướu, sau đó có thể tẩm dung dịch cầm máu nếu cần.
Chỉ được đặt nhẹ nhàng vào rãnh nướu bằng dụng cụ chuyên dụng, đảm bảo không gây tổn thương mô mềm. Sau một khoảng thời gian nhất định, chỉ sẽ được lấy ra trước khi tiến hành bước tiếp theo như lấy dấu hoặc phục hình.
Việc thao tác đúng kỹ thuật giúp tối ưu hiệu quả co nướu và giảm nguy cơ tổn thương mô.
![]() | ![]() | ![]() |
| Đặt chỉ Ultrapak cho cùi răng trước khi lấy dấu. Sử dụng Ultrapak E hoặc Ultrapak thường. | Đặt chỉ Ultrapak xác định giưới hạn trước khi trám xoang V. sử dụng Ultrapak thường (không có chất co mạch). | Đặt chỉ tách nướu trước khi gắn facet, veneer. |
Những câu hỏi thường gặp về chỉ co nướu
Chỉ co nướu có gây đau không?
- Quá trình đặt chỉ có thể gây cảm giác hơi khó chịu nhẹ, nhưng nếu được thực hiện đúng kỹ thuật, bệnh nhân thường không cảm thấy đau đáng kể.
Có cần sử dụng chỉ co nướu trong mọi trường hợp phục hình không?
- Không phải mọi trường hợp đều cần dùng chỉ co nướu, tuy nhiên trong các ca yêu cầu độ chính xác cao hoặc khi đường hoàn tất nằm dưới nướu, việc sử dụng chỉ là rất cần thiết.
Chỉ co nướu có an toàn cho mô nướu không?
- Khi sử dụng đúng kỹ thuật và chọn loại chỉ phù hợp, chỉ co nướu an toàn cho mô nướu và không gây tổn thương lâu dài.
Ultrapak có thể sử dụng với dung dịch cầm máu không?
- Có. Chỉ Ultrapak có khả năng hấp thụ dung dịch tốt, giúp tăng hiệu quả kiểm soát chảy máu trong quá trình điều trị.
Kết luận
Chỉ co nướu là một vật liệu quan trọng trong nha khoa phục hình và thẩm mỹ, giúp đảm bảo độ chính xác và chất lượng điều trị. Với thiết kế sợi đan đặc biệt, khả năng hấp thụ tốt và đa dạng kích cỡ, Ultrapak của Ultradent là lựa chọn đáng tin cậy cho nhiều bác sĩ.
Việc sử dụng đúng loại chỉ co nướu và đúng kỹ thuật không chỉ giúp nâng cao hiệu quả lâm sàng, mà còn góp phần mang lại kết quả thẩm mỹ tối ưu và bền vững cho bệnh nhân.
Liên hệ ngay Megadent để đặt hàng và khám phá sự khác biệt ngay từ ca điều trị đầu tiên.






